Congenital radiial hypoplasia
By: Dr Sarbjit Singh
21 year old male treated previiously elswhere many years ago with centralisation of the ulna and multiple sof tissue procedures
Presented with recurrence of deformity and fused wrist
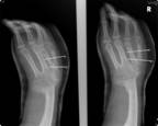
Pre
Op
Xrays
Pre
Op
Treated with opening wedge  osteotomy and lengthening using triplanar othofox fixator
 
Post
Op
Xrays
Follow Up
Pic of patient on follow-up
 
Follow Up
Xrays
 
Follow Up
Xrays