Hip surface Replacement
By: Dr Sarbjit Singh
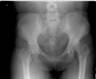
44 year old female presenting with severe left hip pain and limping
ft.
Pre
Op
Xrays showed early osteoarthritis of the hip joint
 
Pre
Op
Intraop films with guide wire in centre femoral neck
Pre
Op
Intraop films with ASR head and cup
Post
Op

Xrays