Elbow Replacement
By: Dr Sarbjit Singh
Pre
Op
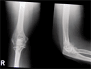
56 year old Malay lady with rheummatiod arthritis with previous bilateral knee replacements done.Now,has pain and chronic swelling right elbow
Pre
Op
Post Op
X-rays elbow showing rheummatoid changes
Post Op
X-Rays

 

Progress
Good relief of elbow pain and excellent function

 

Result