Ilizarov Converted To TKR
By: Dr Sarbjit Singh
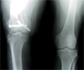
Malunion femur with Knee osteoarthritis in a 54 years old female Chinese
Pre
Op
Open comminuted fracture femur treeated with debridement and external fixator
Pre
Op
Later,treated with acute shortening and stabilsation wit Ilizarove fixator for chronic osteomyelitis
Pre
Op
Healed but developed malunion and knee osteoarthritis, treated with intrarticular correction and knee replacement
Post
Op
2nd surgery : Good restoration alignment and pain relief
Progress
Patient had knee replacement done later for opposite knee also with good result
Progress
patient with good pain relief and knee motion