Polio Left Leg With Shortening And Foot Equinus
By: Dr Sarbjit Singh
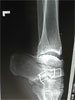
Pre
Op
Old polio leg in 38year old male with 5cm shortening lower leg and equinus foot(partially correctible).Previous triple arthodesis done elsewhere many years ago
Post
Op
Intramedullary bone lengthening using Fitbone nail to correct 5cm tibia shortening
Progress
Distraction of osteotomy site and tibia lengthening
Progress
just before 2nd surgery to correct equinus(foot osteotomies)
Post
Op
Forefoot osteotomy done to correct fixed equinus in 2nd surgery with good result
Follow
Up
Regenerate formed at distraction site with length correction and plantigrade foot