Bilateral TKR
By: Dr Sarbjit Singh
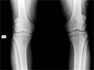
62 years old lady with severe varus both knees and osteoarthritis
Pre
Op
Pre Operation Xrays of limb
Pre
Op
Pre Operation Video
Right Click or Click to Play, Replay or Pause
Post
Op
Post Operation photo
Follow
Up
Patient had normally aligned knees with good relief of knee pains
Follow
Up
Patient had normally aligned knees and good relief of knee pain
Right Click or Click to Play, Replay or Pause
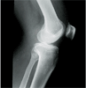
52 year old Malay male with chronic left knee pain due to unicompartmental arthritis
Pre
Op
Pre Operation Xrays
Post
Op
Had unicompartmental knee replacement in view of relatively young age and monocompartmental arthritis
Progress
Good relief of knee pain and full return of knee motion
Follow
Up
Right Click or Click to Play, Replay or Pause