Ankle Deformity Child
By: Dr Saw Aik
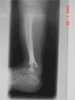
Pre Op
Ankle deformity and shortening in a 7year old child
Pre Op
X-Rays

 

Post Op
Gradual correction using Ilizarov fixator and lengthening

 

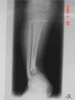
Progress
Correction of deformity and lengthening distal tibia

 

Progress
Child walking full-weight bearing with ankle straightened and lengthening tibia completed