Valgus Knee Deformity
By: Dr Juanito S. Javier
Case from the files of the Ilizarov and Limb Deformity Service of the Department of Orthopaedics, Philippine General Hospital, University of the Philippines
Pre
Op
This is a case of a 16 year old male with a marked valgus deformity of the right knee. Two years prior to consult, the patient sustained a closed Salter Harris type 2 fracture of the distal femur when he was bumped by a vehicle. The injury was treated by open reduction and cross pinning using Steinmann pins. The knee progressively became deformed.
Pre
Op
Physical examination: 45 degree genu valgus with the Q angle at 15 degrees Patellar was dislocated and not reducible True length discrepancy of 5 centimeters
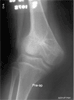
Pre
Op
Radiographs: Arrest of the lateral femoral physis The tibio-femoral angle was measured to be 34 degrees Patella dislocated laterally
Pre
Op
Pre
Op
Op
Management (2 stages):
1). Correction of angular deformity and limb length discrepancy by using Ilizarov Method
2). Reduction of patellar dislocation by transfer of tibial tubercle (Fulkerson technique)
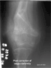
Post
Op
Child at 8year age and walking well and will need 2nd lengthening later age
Post
Op
Result
At 6 months post last surgery, patient can ambulate independently without any pain in the knee. Patient claims no limitation from activities of daily living. Range of motion of the knee is progressively improving. Presently it is 0 to 100 degrees.
Result
Child at 8year age and walking well and will need 2nd lengthening later age