Pilon Fracture Ankle
By: Dr Sarbjit Singh
Pre
Op
Closed comminuted pilon frature ankle in 52year old male folllowing a fall from height
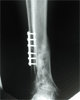
Post
Op
Stabilised using ligamentotaxis,fibular fixation and ring fixator application
Follow
Up
Good bony union with preservation of ankle joint alignment
Result
Good return ankle motion