Total Hip Replacements
By: Dr Sarbjit Singh
Pre
Op
33 years old female with hip pain due to avascular necrosos hips from chronic steroid ingestion
Pre
Op
Xrays
Post
Op
total hip replacement thru minimally invasive single incision
Progress
Patient wih good pain relief and hip motion
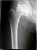
Pre
Op
65 year old male with pain and limping right hip due to osteoarthritis
Post
Op
Total Hip replacement done via minimally invasive single incision
Progress
Patient with pain relief and good hip motion